Información para pacientes

¿Cómo es el nombre del estudio que me voy a hacer? ¿Cinecoronariografía, CCG, Cateterismo, Arteriografía?

Por una cuestión de uso o "desuso" estos términos se suelen utilizar como sinónimos cuando en realidad no lo son en el sentido estricto. Un cateterismo consiste en avanzar un "tubo delgado" denominado "catéter" a distintas cavidades vasculares con el objeto de: tomar muestras de sangre, determinar las presiones dentro de las mismas y/o inyectar sustancias de contraste dentro de las mismas con el objeto de tornarlas visibles a los rayos y poder así obtener imágenes radiográficas de las mismas. Estas imágenes recibirán el nombre de la cavidad en cuestión. Si lo que se estudia son venas se llamará flebografía, si lo que se estudia son arterias se denominará arteriografía, etc.; Ahora bien, habiéndole puesto el nombre al estudio, pongámosle el apellido. En efecto, agregaremos al nombre el sitio donde esté ubicado el vaso que estudiamos, así tendremos por ejemplo una arteriografía de miembros inferiores, una flebografía de miembros superiores, una arteriografía cerebral, cateterismo cardíaco, cateterismo cerebral, etc.

Las arterias que irrigan el corazón se denominan "coronarias" por describir precisamente una corona alrededor del mismo; por eso, la arteriografía de las mismas se llamará "coronariografía" en este caso particular.

Antiguamente, estas coronariografías se grababan en películas de cine de 35 mm por eso se denominaba "cinecoronariografía". En la actualidad, con la tecnología digital todos estos estudios son capturados por cámaras digitales y derivados a una computadora especialmente configurada que los graba en un CD o DVD, pudiendo ser luego reproducidos en prácticamente cualquier computadora.

¿En qué consiste?

Podríamos decir entonces que las arteriografías y las flebografías son radiografías de arterias o venas de una determinada región u órgano del cuerpo.

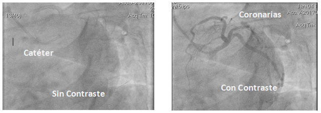
Imagen 1

Debido que estas estructuras son normalmente invisibles a los Rayos X, para poder estudiarlas es preciso llenarlas por dentro de un material de contraste a base de yodo. Con el mismo, se crea un molde de líquido que delinea perfectamente el interior de estos vasos pudiendo ser capturada entonces la imagen mediante un aparato de Rayos X. Sería algo así como sacar radiografía a un vaso de plástico vacío y a otro colmado de material de contraste. El primero sería invisible mientras que en el caso del segundo, veríamos la forma que adopta el líquido dentro del recipiente.

El punto es: ¿cómo hacemos para que ese líquido llegue a los vasos en cuestión y se concentre adecuadamente en ellas para lograr el efecto deseado?

Para ello debemos valernos de un "Catéter" que consiste en un instrumento delgado (aproximadamente 2 mm de diámetro) y flexible que, introduciéndose en el torrente circulatorio, puede ser avanzado hasta el vaso sanguíneo o cavidad que se desea evaluar.

Llegado a destino el extremo del catéter, desde el extremo opuesto (que queda fuera del organismo) se inyecta entonces el líquido de contraste con una jeringa especial a rosca. Cuando el contraste llega a la cavidad, esta se opacifica y se obtienen filmaciones desde distintos ángulos para observar los vasos desde distintos puntos de vista.

Imagen 2

¿Cómo me debo preparar para mi estudio?

Tratándose de un estudio invasivo (se introducen dentro del organismos elementos sólidos como el catéter y líquidos como el material de contraste), es importante evaluar al paciente (siempre que sea posible) mediante una entrevista previa en la que se le realiza una historia clínica minuciosa averiguando los antecedentes más importantes de la enfermedad y los detalles de la misma evalúandose todos los exámenes complementarios realizados hasta el momento. Se investigan además, todos los antecedentes personales y familiares para tomar recaudos de ser necesario.

Es fundamental manifestarle al equipo médico si se tiene trastornos de la coagulación o se es alérgico a los contrastes yodados, al pescado y frutos de mar, o a las frutillas.

Es posible que el profesional encargado de evaluar su caso, le indique efectuarse exámenes complementarios adicionales para contar con la información necesaria para llevar adelante su estudio con la mayor tasa de rédito y menor número de efectos adversos posible.

Recuerde que esta instancia es muy útil para el médico, pero también para que se puedan evacuar todas las dudas que Ud. o sus allegados tengan respecto del estudio.

Se le indica al paciente una buena hidratación el día previo al procedimiento (aproximadamente tres litros salvo indicación contraria de su médico tratante). El día del procedimiento, deberá acudir en ayunas de 8 hs, adecuadamente higienizado con antisépticos o jabón de la ropa esa misma mañana, sin alhajas ni pintura de uñas.

Ciertas medicaciones deben ser suspendidas (medicamentos anticoagulantes desde 72 horas antes y las medicaciones de la diabetes aún la insulina el día del estudio) pero en general el resto de las medicaciones debe seguir tomándolas el día previo y el del estudio, con mínima cantidad de líquido en este último caso.

En caso de contar con antecedentes de alergia, insuficiencia renal o hemorragias le indicarán un tratamiento específico para controlar estos aspectos al momento del estudio.

Ante cualquier duda, recuerde, la consulta previa es la instancia propicia para plantearlas al médico interviniente.

¿Qué pasa durante el procedimiento?

El procedimiento se lleva adelante en una Sala de Hemodinamia. Esta consiste en un quirófano especialmente preparado con un equipo de Rayos X que gira alrededor de una camilla en la que Ud. se acostará con ayuda del personal.

Imagen 3

En primer lugar se coloca un suero en el brazo para administrar sedantes u otras medicaciones cardiológicas que fueren necesarias. También se colocan electrodos autoadhesivos en el cuerpo para controlar con un electrocardiograma permanente el corazón durante el cateterismo, como así también un sensor de oxígeno arterial en forma de pinza en uno de sus dedos. De estos pasos, sólo la canulación de la vena para el suero es ligeramente molesta. Los otros dos son completamente indoloros. Mediante los mismos, los profesionales actuantes tendrán un acceso rápido para administrar cualquier medicación que fuere necesaria, como así también, conocer permanentemente y en tiempo real su frecuencia cardíaca y saturación de oxígeno arterial.

El médico utiliza habitualmente la zona de la ingle o el brazo o la muñeca para introducir por una arteria el catéter en su camino al corazón. Previo a la introducción del catéter la zona es limpiada con antisépticos, cubierta con sábanas estériles y la zona anestesiada con anestesia local. Si el paciente es muy temeroso o ansioso se la puede dormir fugazmente para que no sienta ningún disconfort. Es muy importante que el paciente no toque inadvertidamente las sábanas estériles o cualquier instrumental con los que trabajan los profesionales. Más allá del riesgo que un movimiento trae aparejado al trabajar con materiales punzocortantes, estas maniobras pueden contaminar el "campo" de trabajo y ocasionarle serias infecciones.

Imagen 4

Cuando el extremo del catéter alcanza el objetivo (vaso a estudiar), el médico inyecta la sustancia de contraste iodada opaca a los rayos X dentro del mismo, lo que, como ya dijimos, le permite visualizar su luz y diagnosticar si tienen obstrucciones y su grado de severidad. Las imágenes obtenidas se graban en un CD/DVD, para evaluarlas posteriormente con más detenimiento y además para guardarlas en un archivo.

Una vez obtenidas las imágenes se retira el catéter, se comprime la zona para obtener el cierre por coagulación del orificio creado a la arteria por el catéter, se deja por varias horas al paciente en reposo para evitar sangrado en la zona de introducción del catéter y posteriormente se da el alta.

¿Qué pasa después del estudio?

El paciente retorna a su habitación y puede tener una sensación de molestia dolorosa en la zona de la intervención para lo cual puede solicitar un analgésico. Si se realiza el estudio por la ingle puede colocársele una bolsa de arena o algo similar para comprimir la zona de la punción.

Imagen 5

Se le aconseja que durante varias horas no se levante para evitar un sangrado. El personal vigilara periódicamente la zona afectada asegurándose que no se produzca hinchazón o sangrado. De todos modos, Ud. podrá requerir su asistencia en caso de molestias o dudas.

No deberá asimismo, ingerir alimentos o líquidos por dos horas en caso de haberse utilizado material de contraste.

Al paciente se le aconseja, si el estudio se realizo por la ingle, que por varios días no realice esfuerzos importantes, no levante pesos, no corra y evite por 48-72 horas relaciones sexuales. Cuando se efectuó por el codo o la muñeca, deberá mantener elevado el mismo durante 24 hs, abstenerse de manejar por tres días y de levantar objetos pesados por una semana.

Siempre, consulte con su médico de cabecera al respecto.

En la zona de punción pueden quedar mínimos sangrados, equimosis (moretones) e incluso una leve molestia dolorosa pero nunca puede quedar dolor al caminar o en reposo o algún "bulto" pulsátil, doloroso. En esos casos debe consultarse al médico que realizo el procedimiento inmediatamente.

Debe proseguir con su medicación habitual hasta que vea a su médico de cabecera con el resultado de la coronariografía

¿Existen riesgos?

Es un test seguro y mínimamente invasivo, del que más de 1 millón son realizadas en el mundo por año. La tasa de complicaciones es de 7 por 1000 pacientes.

Aún así, si bien el número es realmente bajo, bajo no significa cero. Es por eso que el profesional que le indica el procedimiento, lo hace luego de haber analizado minuciosamente el caso y llegado a la conclusión de que los riesgos que está atravesando por su enfermedad, son sin duda mucho mayores a los que se incurre por realizar el procedimiento.

Los riesgos se incrementan con la edad y fundamentalmente con la severidad de su enfermedad de fondo ya sea cardiológica, cerebral, renal, diabetes, alergias, etc.

Las reacciones adversas pueden ser menores o mayores. Las menores incluyen: sangrado de la herida, hematoma, infección, fiebre, etc. Entre las mayores, podemos nombrar arritmias, infarto accidente cerebrovascular, hemorragias, shock, muerte, etc.

Una vez más, si bien los riesgos son concretos y graves en algunos casos, la posibilidad de que se presenten es realmente baja, sin duda mucho más baja que el riesgo que Ud. estaría corriendo si decide no hacerse el estudio.

¿Por qué se me solicita este estudio?

Estos estudios se solicitan cuando se sospecha algún tipo de enfermedad vascular sean estrecheces o dilataciones de arterias o venas. También pueden solicitarse cuando, si bien está confirmada la afección, se necesita precisar con exactitud las características de la misma a fin de definir el tratamiento. Por último, puede solicitarse el procedimiento directamente con el objetivo de efectuar una intervención correctiva de su enfermedad.

Imagen 6

En general, cuando se llega a esta instancia, los profesionales intervinientes han agotado todas las instancias de estudios no invasivos los que seguramente, no logran descartar o precisar su afección, o bien, como se dijo, la misma está confirmada y desean tratarla.

Para el caso de sospecha de enfermedad coronaria, por citar un ejemplo, un paciente con síntomas como dolor o opresión o ardor en el pecho, falta de aire, palpitaciones y mareos, seguramente ha sido evaluado mediante alguno de los siguientes estudios: electrocardiograma, ergometría, ecocardiograma, o test de Stress Nuclear (Cámara Gamma).

Como ya dijimos, recuerde asistir a la entrevista previa llevando los resultados de los mismos. Esa información es importante para el médico que va a realizar el cateterismo.

¿Qué tratamiento podría seguir a una angiografía?

Según la extensión y severidad de las lesiones encontradas, el médico puede sugerir:

1) Tratamiento clínico con dieta y medicamentos.

2) Angioplastia con Stent: es un método en que también se utiliza el cateterismo esta vez no para diagnosticar sino para tratamiento. Con pequeños balones se "dilatan" las obstrucciones y se mantiene la luz abierta con la ayuda de Stents.

3) Otras intervenciones endovasculares: implante de prótesis, oclusión (embolización) de arterias o sus ramas, esclerosis de venas, etc.

4) Cirugía de By pass: esta cirugía consiste en crear con un conducto arterial o venoso del paciente un "puente" sorteando la obstrucción y asegurando la circulación distal a la misma. El numero de By pass depende del número de arterias con lesiones.

Tanto la Angioplastia como la cirugía de By pass tienen como finalidad evitar que las arterias se cierren y se produzca un daño en los tejidos irrigados por las mismas (por ejemplo un infarto de miocardio) con sus respectivas potenciales graves complicaciones.